Ofrecemos un enfoque integral en la prevención, diagnóstico y tratamiento de patologías complejas:
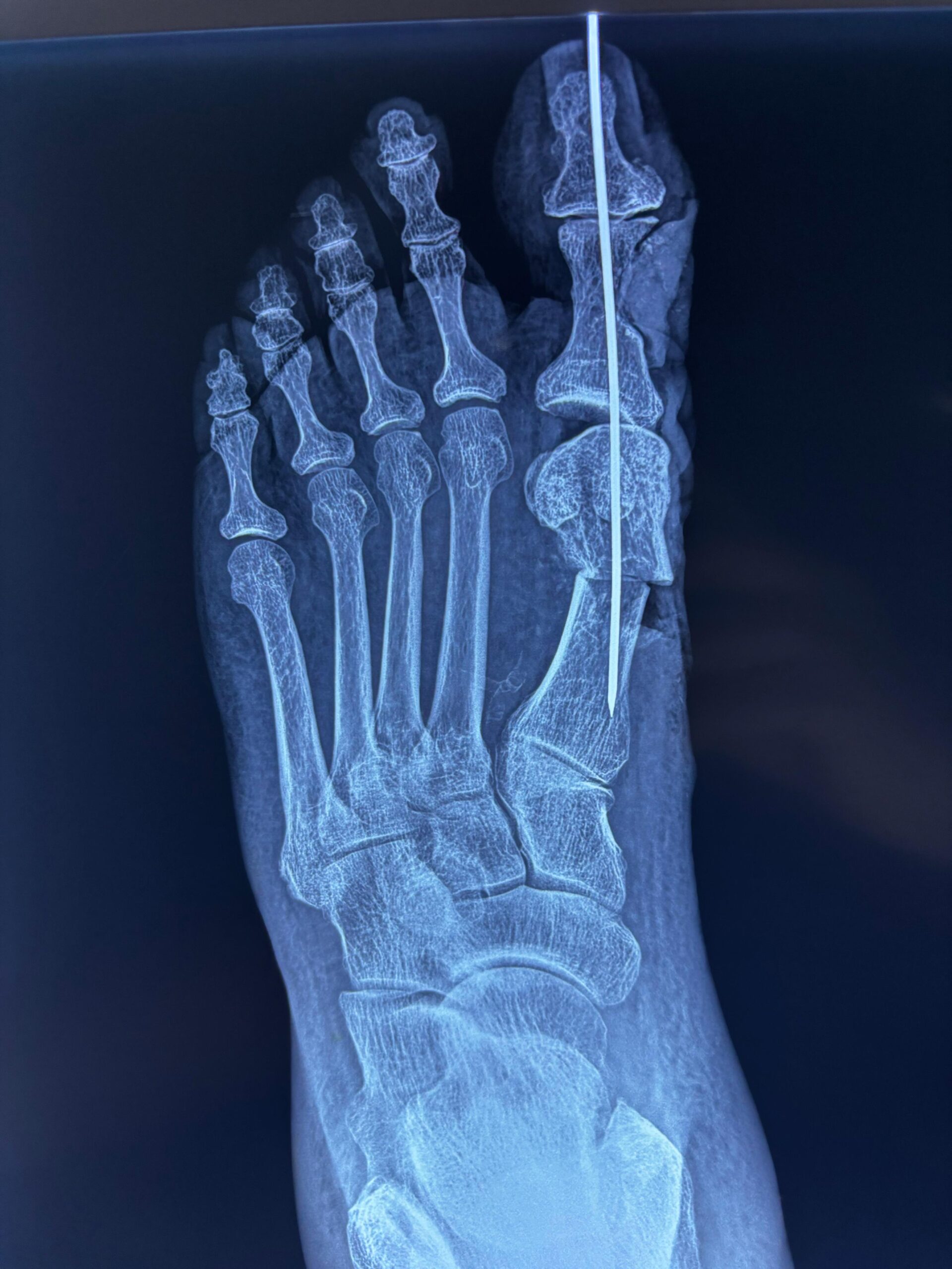
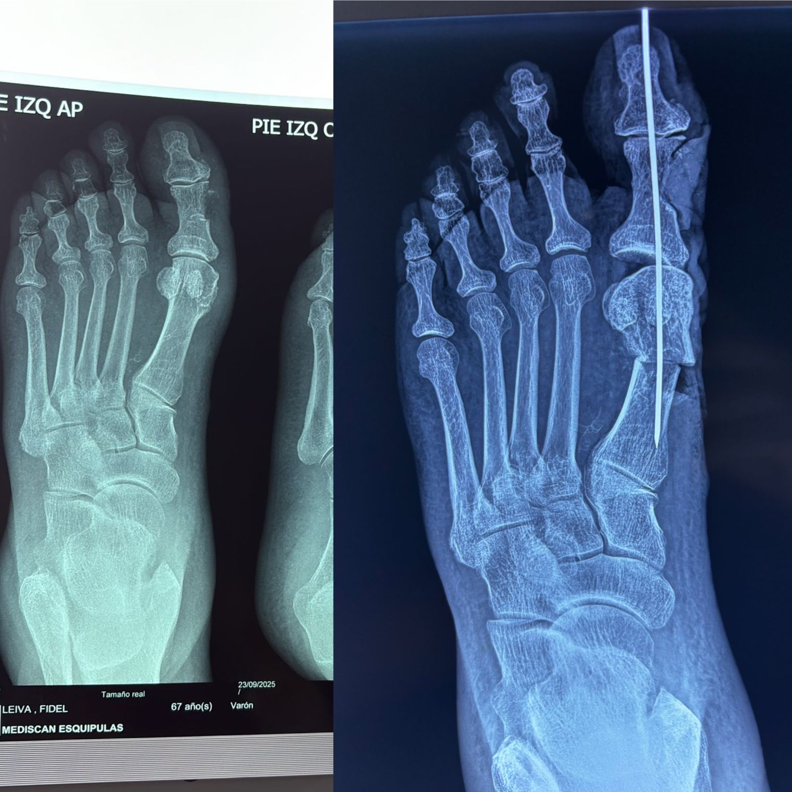
Pie Diabético y de Charcot
Deformidades digitales y hallux valgus
Artroscopía y cirugía mínimamente invasiva
Reconstrucciones avanzadas y superconstrucciones
Con tecnología de vanguardia y experiencia quirúrgica, en MOVILIS buscamos devolver funcionalidad y calidad de vida a nuestros pacientes.




